
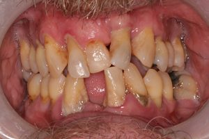
If you’ve recently lost a tooth, you may be shocked to know that anywhere between 20-35 million adults in the US currently wear dentures! Due in part to the advancements of modern technology, you may be regularly speaking with peers who have fake teeth, and not even know it.
Interested to know more? The days of cheap dentures that slip, break and interrupt dinner parties are behind us. At Southington Dentistry, we’re helping patients discover peace of mind in long-lasting affordable dentures that feel great and look great, too.
Modern dentures are individually designed to provide a superior fit, feel and function. Tooth loss doesn’t have to run your daily life and social activities! Ask yourself if Southington Dentistry can help find you a perfect fit. Call us at (860) 628-5029 to schedule a dentures consultation.
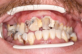
Complete Dentures: Also known as full dentures, complete dentures replace all teeth after tooth loss or tooth decay, and instantly feel like yourself again with a functional, youthful smile. Depending on your unique dental care needs, you can have a denture placed on your upper or lower jaw, or both.
Partial Dentures: Partial dentures work best for patients who have lost just one or a few teeth, and have some natural teeth remaining. Should you decide that you desire a partial denture, Dr. Salesky can custom make your denture to fill in the spaces created after tooth loss and support the retention of your remaining teeth.
Overdentures: Known by some as implant retained dentures, denture implants or permanent dentures, overdentures are used to replace as many as one or all natural teeth and are retained in the mouth with dental implants.
Unlike traditional dentures, overdentures are the only form of dentures to stimulate the natural bone density in the jaw and slow bone loss. Their secure fit encourages better digestion (without relying on denture adhesive), as they won’t slip or shift in place. And for many patients, overdentures return their quality of life with a set of teeth that feel as sturdy and strong as if they were their very own.

Nature designed us to rely on our teeth for so many primary functions: from eating to speaking, to showing a friendly face, the teeth we have often determine how well we will live. If you are concerned about your future after tooth loss, call us today. As a family and restorative dentist serving Bristol, Southington, Plainville, Cheshire, Wolcott and nearby, Dr. Salesky looks forward to helping you smile again in good health.
Complete dentures come in two forms: conventional dentures, which are made and placed once the mouth is ready and healed; and immediate dentures, which can be made and inserted into the mouth immediately after the removal of remaining teeth.
If you can’t imagine yourself without your teeth while you transition to life with dentures, an immediate denture offers convenient relief. But don’t forget! Especially during the healing process after removing teeth, your gums and the bone density in your jaw can shrink, and your immediate dentures may require rebasing or relining in the mouth.
Conventional dentures are made once the tissues have healed after tooth extraction. For the average patient it will take at least 6-8 weeks before a conventional denture can be placed.
No patient is the same, but how well you take care of your dentures and dental hygiene habits will help maximize the benefits of your dentures. Depending on your choice of denture, your current health, and your lifestyle, your denture may last anywhere from five years to as long as a lifetime.
Many patients ask us if we offer “economy dentures”, or affordable dentures at Southington Dentistry. We understand that no expects to live without their full set of teeth.
To best care for our patients, we offer a large range of options in affordable dentures, without the sacrifice of quality. Modern restorative dentistry is making bounds in transforming smiles: isn’t it time you felt the urge to smile again, too?
Interested in improving your life in a functional, beautiful smile? Call us at (860) 628-5029 or visit our office at 15 Cornerstone Ct #3a, Plantsville, CT 06479. We’re proud to serve our local communities as your family dentist in Bristol, Wolcott, Cheshire, Southington, Plainville, New Britain and nearby.








Proudly Serving Plantsville, Milldale, Marion, Bristol, Plainville, New Britain, Berlin, and surrounding cities in Connecticut