
A dental crown is a cap for decayed or damaged teeth that may not look, function, or feel as they should. It happens to all of us, our teeth age and get worn down over time. We enjoy our coffee, chew on candy, and a few of us even forget to floss twice a day. These hard living ways can result in decay. Don’t worry if you’ve had a cavity, you’re not alone, up to 92% of adults ages 20 to 64 have had tooth decay (NIH). While fillings are an easy remedy for cavities, sometimes teeth experience more than they can handle and a dental crown needs to be placed over the affected tooth. Southington Dentistry uses crowns to protect the natural structure of your damaged tooth while strengthening the bite and improving the appearance. These common conditions are some reasons why you might be recommended a crown.

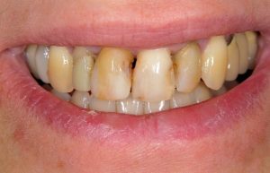
Crowns Before

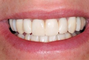
Crowns After

A dental crown takes two easy appointments. At the first appointment Dr. Salesky will take a mold of your teeth, and use a color matching chart to prepare the customized information for the lab. Once the mold process is finished, we will buff out and remove the areas of decay and fit you with a temporary dental crown. You’ll be up and out of the chair in about an hour with no changes to your diet.
Over the course of 1 to 2 weeks our team works with a laboratory to design the specific dimensions, color, and quality of your perfect crown. In some cases dental offices rush the process by not taking the time to prepare the best shape or shade, but at Southington Dentistry we create crowns that will match your smile so well you won’t be able to tell with a magnifying glass. You’ll be back in the chair to fit and place a new, perfect crown. Our team only uses the best quality materials and modern placement techniques. The average crown only lasts 5 to 8 years, but a Southington Dentistry crown can last 12 to 15 years with proper care and dental hygiene.
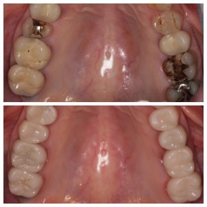
Crowns Before

Crowns After

Dental crowns have a number of benefits that make them the ideal way to restore a damaged tooth:
Mostly, dental crowns are used to treat patients who have damaged teeth. If you are in an accident and break a tooth, a crown is an ideal way to remove damaged material and protect the tooth from infection. Crowns are also used as an alternative to fillings if you have a large cavity that cannot be filled. They can also be used to cap your tooth after a root canal, to protect it and prevent the infection from recurring.
However, porcelain dental can also be used in cosmetic dentistry as a way to treat issues like gaps in the teeth, serious stains that cannot be removed with whitening, and teeth that are small or misshapen.
Porcelain crowns can also be used to treat patients who have old metal fillings or crowns, and would like to have their old dental work removed, and replaced with a more natural, durable porcelain crown.
Caring for dental crowns is very similar to caring for a natural tooth. The first and most important thing you can do is brush at least twice per day for two minutes, and floss at least once per day. Keeping your crowns clean is the best way to ensure that your mouth stays healthy and you avoid issues like periodontal disease.
You should also see Dr. Salesky at Southington Dentistry every six months to have your mouth cleaned and examined, and make sure your teeth and crowns are in good shape. You may also want to get a night guard if you tend to clench your teeth when you sleep, since clenching (bruxism) can put excessive strain on your crown and cause it to crack, break, or come loose.
Additionally, you should avoid chewing extremely hard foods like ice or hard candy with a crown, and chewing non-food objects. Anything that could damage a natural tooth could also damage a crown.
Our team at Southington Dentistry focuses on keeping our patients comfortable at all times. Dr. Salesky has studied the latest dental technologies in restorative and cosmetic dentistry. We take pride in our ability to create the best, customized dental crowns for patients all around Southington, Plantsville, Bristol, and Wolcott. Whether you’re chatting with our front staff about your next appointment or finding out more about our drill-free fillings and Wolcott dental crowns, we’re glad to keep you feeling informed and confident about your dental health. If you have any questions about dental implants, veneers or any of our available services, feel free to call us to schedule an appointment. We’re happy to serve as your local dentist in Wolcott, Southington, Plantsville, Bristol and beyond.
Proudly Serving Plantsville, Milldale, Marion, Bristol, Plainville, New Britain, Berlin, and surrounding cities in Connecticut