
Do you smile openly? Do you laugh easily? If have small imperfections in your smile such as chipped or crooked teeth, stained or discolored teeth or have a tooth that is irregular in size, you may feel self-conscious about how you look and express yourself. At Southington Dentistry, we are proud to help you rebuild your smile and choose the best cosmetic dentistry for your unique dental needs.
Advances in modern dental care have made the techniques we use to make restoring the natural look, feel, and functionality of teeth as easy as 1, 2, 3! For straighter, more even looking teeth or a brighter, whiter smile, our reshaping services might be the right choice for you!

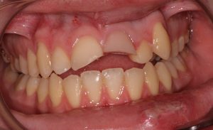
Bonding Before

Bonding After
Poorly aligned teeth, chipped and uneven teeth may easily be fixed with teeth reshaping. These dental procedures in restorative and cosmetic dentistry are often the most highly preferred and sought after treatments, as they are cost effective and can remove years of visible wear and tear in little time.
Bonding is when the tooth-colored, putty-like material resin is applied to the teeth to improve their color and/or fill in spaces, chips, irregularities or discoloration. Dr. Salesky may follow up with painting a conditioning liquid on your teeth, which helps the resin stick to the enamel. After reshaping the resin so that it looks perfect, a light is shined against it to harden it. This process takes generally 30 minutes to one hour and is painless.
Contouring straightens crooked teeth, evens out length, and corrects chipped, overlapping, and cracked teeth. Most often, contouring involves removing a tiny bit of enamel and doesn’t really require any sort of anesthetic. It will be gently reshaped with a laser or tool, and then polished to a smooth surface. Each tooth reshaping takes roughly 30 minutes to complete. It is normal for some patients to experience some temperature sensitivity in the day or two that follows. Should you have any questions about contouring with cosmetic dentistry, give us a call!
This patient had significant signs of wear and staining on his teeth. Using dental bonding Dr. Salesky was able to transform and improve the functionality and appearance of his smile.



Let’s take a look at some of the more common dental injuries and imperfections that are either due to habits or a result of genetics. (Thanks for the crooked teeth, Mom!)
A chipped tooth or a cracked tooth can happen easily: eating popcorn and chomping down on a kernel; biting into chicken and hitting a bone; not wearing a mouthguard while playing sports; grinding your teeth at night; not brushing your teeth regularly and ignoring cavities; using your teeth to rip open packages, cut tape, and even open bottles; and clenching your teeth excessively due to stress.
Chipped teeth are quite common amongst kids, whose playtime involves a great deal of activity, close contact, and even some rough and tumble!
Were you born with a tooth that is smaller (or bigger) than the rest of your teeth? Do you have a space between two adjacent teeth that might have formed years after braces or Invisalign? Dental bonding and contouring has the unique advantage of changing the color, size, shape and even the length of the teeth for a smile that is more balanced and aesthetically pleasant.
Sometimes you aren’t born with perfectly pearly whites! Other times your nice bright teeth become dull and discolored over time with habitual coffee drinking, smoking, and/or red wine consumption. Sometimes even the cruel act of aging will make our teeth lose their luster. Whatever the reason, your cosmetic dentist in Southington can whiten your smile!

If you’re looking for cosmetic or restorative dentistry services such as teeth whitening, dental crowns, dental implants or veneers, Southington Dentistry will work with you to provide the options necessary to restore your confidence and improve your oral health. Give Dr. Salesky a call today at (860) 628-5029. We are proud to serve you as your family dentist for communities in Plantsville, Bristol, Southington, Cheshire, Wolcott, and nearby.
Proudly Serving Plantsville, Milldale, Marion, Bristol, Plainville, New Britain, Berlin, and surrounding cities in Connecticut